
이영은
영은한의원장
여자 46세. 2022년 12월16일 내원.
【形】 152cm/43kg, 목토형.
【色】 靑黃.

【生活歷】 상담직(말을 많이 한다.)
【症】
① 11월7일부터 하혈하고 있다. 처음에 생리인 줄 알았는데 계속 하더라. 폐경인 줄 알았다.
② 산부인과 갔더니 자궁을 들어내야 할 것 같다고 했다.
③ 원래 생리량이 많지 않고, 4일 하고 주기는 28일. 배가 약간 싸하게 아픈 정도 생리통이 있다.
④ 소화가 잘 안된다. 잘 안 먹고 배도 잘 안고프다. 어렸을 때부터 체기를 달고 살았다. 과민성 대장염 증상도 있어서 설사를 잘한다. 조금 먹는다.
⑤ 전에 배가 아파서 병원에 갔더니 담낭 염증이라고 했다. 건강보조식품을 먹고 나았다.
⑥ 몸이 차고 냉하고 두통이 심하다.
⑦ 설사를 자주한다. 밀가루, 우유, 기름기 있는 음식을 먹으면 설사한다. 꽤 오래 됐다.
⑧ 자다가 소변 때문에 한번 깬다.
⑨ 입술이 마르고 피를 쏟으면서 입술과 혀가 마르고 눈이 아프고 뒷골이 당기고 어지럽다. 기운이 없다. 숨이 차고 가슴이 답답하다. 어깨통증, 뒷목 당김이 있다.
⑩ 평소 냉이 있었고, 음부소양 약간 있다.
⑪ 입안에 염증이 잘 생기고 지금은 없다.
⑫ 빈혈수치 5까지 떨어졌다.
⑬ 유산 1회(자연).
⑭ 혈압이 낮고 핑 돌 때가 있다.
⑮ 목에 가래가 걸려 있다.
⑯ 손발이 차고 손저림이 있다. 발뒤꿈치가 많이 시리다.
【治療 및 經過】
① 12월16일. 녹각교 7포 드림, 승양제습탕(포문) 가 녹용 20첩 40팩 처방.
② 12월18일. 녹각교 20포.
③ 12월22일. 맥) 62/62 대장(방광) 혈소판 수치 10정도 나왔고 피는 멎었다. 컨디션도 좋다. 손톱 잘 깨진다. 젊어서 담낭염으로 많이 고생했다. 후협하 위로 우측 가슴 등부분 반점이 있다. 좌족 4지 긴 편.
④ 12월27일. 무리했더니 피가 비쳐 나왔다. 청소했더니 금방 배터리 떨어짐. 녹각교 40포.
⑤ 12월29일. 피 나오다가 다시 안나온다. 소화 괜찮고 속이 쓰리다가 향사평위산 ex먹으면 좀 낫다. 기분 나쁘면 안먹는게 낫다.
⑥ 1월7일 양쪽 유방 석회화 있는데 냉이 나오고 가래 끼고 하혈은 안하는데 걱정된다. 가래 많이 생기면 구역질이 난다. 무리하면 어지럽다. 탁구 두게임 했더니 어지럽다. 녹각교 1일 2∼3포 복용 중.
⑦ 1월12일. 승양제습탕 가 녹용 1제.
⑧ 1월17일. 맥 60/56 신(방광) 눈이 많이 피로하고 튀어나오는 것 같다. 잠은 자주 깬다. 요새 눈이 많이 피곤하다. 설사는 안했다.
⑨ 2월7일. 생리 시작. 얼굴 뾰루지 올라오고 있다.
⑩ 2월9일. 생리량이 많아서 어지럽고 힘들다. 계속 넘치듯이 생리했다. 승양제습탕 가 녹용, 녹각교.
⑪ 2월13일. 이제 생리량이 많이 줄었다. 승양제습탕 (포문) 가 녹용 1제.
⑫ 3월3일. 맥 68/66 간(담) 2/20일 하혈 멎었다. 너무 피곤하다. 냉하고 가래가 계속 낀다. 승양제습탕 가 녹용, 녹각교.
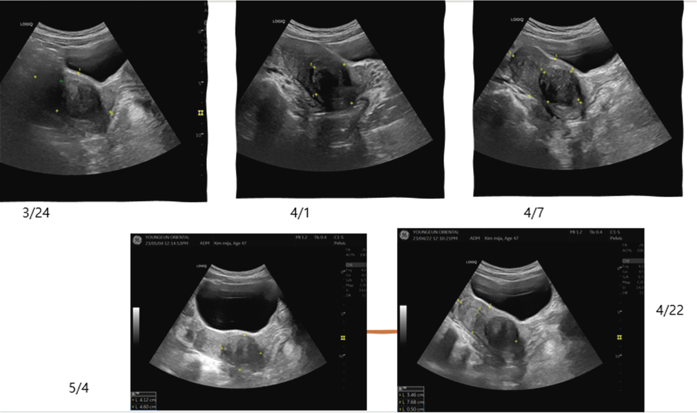
⑬ 3월24일. 맥 74/68 비(방광) 생리가 4일 뒤로 다가왔다. 초음파검사상 자궁경부에 4.74cm 자궁근종이 위치하고 있다. 크기 변동 없다. 녹각교‘
⑭ 4월7일. 맥 70/66 간(담) 아직 생리 안했다. 가래가 끼고 눈이 많이 피곤하다. 설사 안하고 소화는 괜찮고 체력은 많이 호전됐다. 승양제습탕 가 녹용.
⑮ 4월22일. 생리 6일하고 멈췄다.
⑯ 5월1일. 지난번 생리 후 28일 다시 생리처럼 나왔다. 녹각교.
【考察】
상기 환자는 목토형 여성으로 신경을 많이 쓴 이후에 하혈 증상으로 내원했다. 초진 당시 빈혈수치가 5까지 떨어져서 매우 힘든 상황이었다. 우선 부인문의 단방에 나오는 녹각교를 투약하니 하혈이 멈췄다. 어려서부터 소화가 안되고 과민성대장염으로 설사를 자주하는 증상으로 설사와 붕루에 쓰는 승양제습탕(포문)을 투약해 좋은 치료 효과를 보았다.
보통 목토형의 붕루에 가미귀비탕을 처방해야 하나, 이 환자는 설사를 자주하는 증상이 있어 동의보감의 설사문과 포문에 나오는 승양제습탕 중에서 포문의 승양제습탕가 녹용을 선방했다. 환자는 녹각교를 먹고 기력이 회복되고 하혈이 빠르게 멈췄지만 만성적인 소화불량과 설사로 빈혈이 심해 장기적인 치료가 필요하다고 사료된다. 초음파 사진상 상기 환자의 자궁경부쪽에 4.35cm의 자궁근종이 보인다. 자궁근종이 내막에 근접하면서 붕루증상을 일으킨 것으로 보인다. 치료 중 초음파로 관찰한 결과 자궁내막 근처 정상조직이 성장하면서 자궁근종으로 눌리면서 하혈하는 증상이 개선되고 있었다.

【參考文獻】
① [대역동의보감] [포문]
升陽除濕湯(승양제습탕)
治崩漏不止, 因脾胃虛而心包乘之, 故血漏而下. 黃芪·蒼朮·羌活 各一錢, 柴胡·升麻·防風·藁本·甘草(灸) 各七分, 蔓荊子 五分, 獨活·當歸 各三分. 右剉, 作一貼, 水煎服. [《東垣》] (붕루가 멎지 않는 것을 치료한다. 비위가 허한 데다 심포에도 문제가 생겨서 붕루가 나오는 것이다. 황기·창출·강활 각 1돈, 시호·승마·방풍·고본·감초(구운 것) 각 7푼, 만형자 5푼, 독활·당귀 각 3푼. 이 약들을 썰어 1첩으로 하여 물에 달여 먹는다. [《동원》])
② [대역동의보감]
胃氣下陷, 經水暴下, 宜升陽調經湯·益胃升陽湯[方見內傷]·升陽除濕湯·柴胡調經湯[已上《入門》(위기(胃氣)가 아래로 처져 혈붕이 되면 승양조경탕·익위승양탕[처방은 내상문에 나온다]·승양제습탕·시호조경탕을 써야 한다.[《입문》])
③ [대역 동의보감]
鹿角膠(녹각교)
主崩漏, 赤白帶下. 炒爲末, 酒下二錢, 或丸服, 或煮服良.[《本草》](붕루와 적백대하에 주로 쓴다. 볶아서 가루내어 술로 2돈씩 먹는다. 환으로 먹거나 달여 먹어도 좋다.[《본초》])
④ [수요임상토론] 목토에 가깝다. 소화가 안되는 사람이다. 소화가 잘 되어야 약이 들어간다. 하혈했는데 승양제습탕(포문) 쓰면 소화도 좋아지고 좀 부족한 것은 향사평위산으로 보완하면 된다.